DE
FR
Ärzte behandeln mit dem Lumify Produkt

Für Notfälle entwickelt

Lumify – jederzeit einsatzbereit

Notfälle können nicht warten. Lumify Handheld-Ultraschall für die Akutversorgung kann mit zuverlässigen, hochauflösenden Bildern in Echtzeit für klarere Behandlungspfade sorgen.

Erfahren Sie, welche Vorteile Lumify für Sie hat

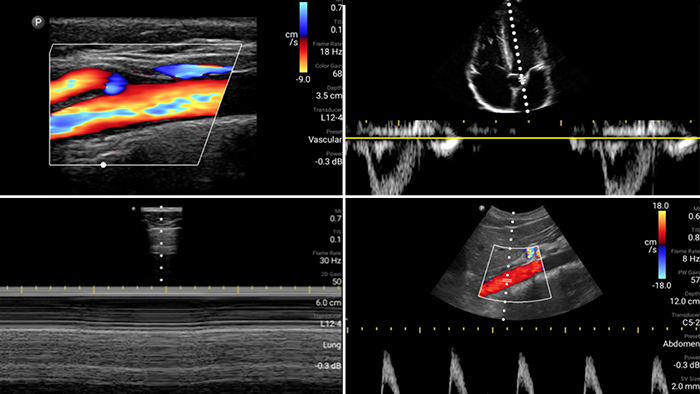
Bild: erster Fall

Kontinuierliche Unterstützung durch Lumify

Beurteilen, diagnostizieren und behandeln Sie Ihre Patienten in Minuten mit einer Multi-Point-POCUS-Untersuchung.

Bild: zweiter Fall

Aufatmen mit Lumify

Lumify kann helfen, Patienten schneller zu beurteilen und die Diagnosegenauigkeit häufiger Ursachen von Dyspnoe und anderen Lungenerkrankungen zu erhöhen.

Bild: dritter Fall

Jede Sekunde zählt in der Kardiologie

Herzinfarktpatienten benötigen unmittelbare Versorgung. Mit den kardiologischen Presets von Lumify können Patienten schneller diagnostiziert werden, um ihre Prognose zu verbessern.

Das sagen Anweder über Lumify

Überzeugen Sie sich selbst
 
Klare Bilder des ganzen Körpers für einen umfassenden Überblick und schnelle, präzise Reaktionen im Notfall

Lumify Schallköpfe für die Notfallmedizin

eine Gruppe weißer Objekte

Lumify L12-4 Breitband-Linear-Schallkopf

  • Erweiterter Frequenzbereich von 12 bis 4 MHz
  • Aperturgröße: 34 mm
  • 2D, steuerbarer Farbdoppler, M-Mode, erweiterte XRES Bildverarbeitung und multivariates Harmonic Imaging, SonoCT
  • Bildgebung mit hoher Auflösung für oberflächliche Anwendungen: Weichgewebe, Gefäßdiagnostik, oberflächennahe Strukturen, MSK und Lunge
  • Mittellinien-Marker
  • Schallkopf mit austauschbarem USB-C-Kabel

eine Nahaufnahme eines weißen Geräts

Lumify S4-1 Breitband-Sektor-Schallkopf

  • Erweiterter Frequenzbereich von 4 bis 1 MHz
  • 2D, Farbdoppler, M-Mode, erweiterte XRES Bildverarbeitung und multivariates Harmonic Imaging
  • Bildgebung mit hoher Auflösung für abdominelle und kardiale Anwendungen: optimierende Bildgebungs-Presets für Herz, Geburtshilfe/Gynäkologie, Lunge, Abdomen und FAST
  • Schallkopf mit austauschbarem USB-C-Kabel

Mehr sehen, wenn es darauf ankommt

Mit hoher Detailgenauigkeit und hervorragender Gewebedefinition aus verschiedenen Winkeln unterstützt Sie Lumify zuverlässig bei der klinischen Entscheidungsfindung in allen Versorgungsphasen.

Bild: Pad-statisch Fallbeispiel
Bild: Pad-statisch Fallbeispiel

Mehr sehen, wenn es darauf ankommt

Mit hoher Detailgenauigkeit und hervorragender Gewebedefinition aus verschiedenen Winkeln unterstützt Sie Lumify bei zuverlässigen Echtzeitentscheidungen in allen Versorgungsphasen.

Mehr zu Lumify in der Notfallmedizin

Arzt arbeitet am Tablet-PC

Video

Lumify aids life-saving technology in prehospital setting (Lumify unterstützt lebensrettende Technologien in präklinischen Umgebungen)

Smartphone neben dem Lumify Produkt

Fallstudie

Integrating Lumify into a resuscitation environment (Integration von Lumify in eine Reanimationsumgebung)

Patient in Behandlung

Kurzanleitung (Engl.)

Focused Assessment with Sonography in Trauma (FAST) exam (Sonographische Bestimmung freier Flüssigkeit im Bauchraum (FAST-Untersuchung))

Lassen Sie uns in Kontakt treten!

Wie können wir Ihnen weiterhelfen?

1
Wählen Sie Ihren Interessenbereich aus
2
Kontaktdetails

You are about to visit a Philips global content page

Continue

You are about to visit a Philips global content page

Continue

Unsere Seite wird am besten mit der neuesten Version von Microsoft Edge, Google Chrome oder Firefox angezeigt.