
Weniger Komplikationen beim Legen von ZVK
Echtzeit-Ultraschall kann die Genauigkeit und Sicherheit beim Legen von ZVK verbessern.

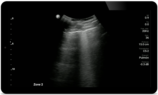
Genau hinsehen bei COVID- Pneumonie
Ähnlich einem Thorax-CT kann Lumify bei der Diagnose und Beurteilung von Pneumonie oder Atemnotsyndrom von Erwachsenen helfen.

Schneller reagieren, das Herz schützen
Wenn jede Sekunde zählt, kann mobil einsetzbarer Ultraschall den entscheidenden Unterschied machen. Lumify bietet die hochauflösenden Bilder, die Sie benötigen, an jedem Ort und zu jeder Zeit.



















Fallstudie
An Opportunity to potentially reverse cardiomyopathy (Möglichkeit zur potenziellen Umkehr von Kardiomyopathie)

Tutorial (Engl.)
Intro to transthoracic echocardiography (Einführung in die transthorakale Echokardiographie)

Kurzanleitung (Engl.)
Focused renal ultrasound (Fokussierter Nieren-Ultraschall)
You are about to visit a Philips global content page
Continue