Magazine d’IRM FieldStrength
Expériences utilisateur - avril 2015
À l’hôpital pour enfants de Phoenix, l’imagerie de susceptibilité pondérée haute résolution avec SWIp est désormais courante pour examiner les traumatismes crâniens. L’imagerie de perfusion rapide et sans contraste avec pCASL est utilisée chez tous les patients souffrant d’accidents vasculaires cérébraux aigus ou d’anomalies telles que les AVC graves. L’excellente suppression de graisse de la TSE mDIXON est devenue la norme de l’hôpital pour la suppression de graisse dans le rachis et les membres, l’examen des lésions des tissus mous du visage et du cou et les anomalies contrastées, qui sont principalement visibles avec la suppression de graisse.
L’hôpital pour enfants de Phoenix (Phoenix Children’s Hospital, PCH, Phoenix, Arizona, États-Unis) est le premier hôpital pour enfants de référence dans l’état de l’Arizona et aide les patients présentant les cas les plus complexes. Cet hôpital utilise deux systèmes Ingenia 3.0T et deux systèmes 1.5T. “Nous sommes un centre de référence dans le traitement des maladies complexes qui affectent les systèmes neurologiques, en particulier des traumatismes crâniens, des tumeurs cérébrales, de l’épilepsie et des maladies vasculaires, notamment les AVC”, déclare le neuroradiologue du PCH Dr Jeffrey H. Miller. Avec la technologue responsable de l’IRM Amber Pokorney, le Dr Miller utilise des techniques d’IRM avancées dans certains des cas d’imagerie les plus complexes de l’hôpital.

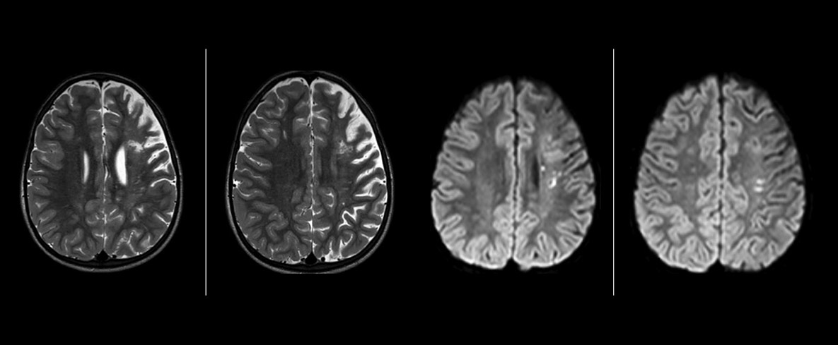
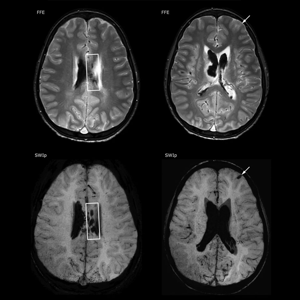
La valeur de l’imagerie de susceptibilité pondérée dans la visualisation des lésions cérébrales est bien documentée. La technique SWIp multi-écho de Philips offre une imagerie de susceptibilité pondérée rapide avec un contraste de susceptibilité amélioré et une haute résolution.
“L’imagerie pédiatrique n’est pas sans difficulté”, affirme le Dr Miller. “Comme nos patients sont souvent très petits, nous avons besoin d’une imagerie à très haute résolution. En cas de lésion cérébrale, nous devons obtenir rapidement les informations nécessaires pour que les cliniciens traitants puissent prendre les décisions de traitement. Nous nous fions à la haute résolution et aux solides capacités d’imagerie de nos systèmes Ingenia.”
“La SWIp nous aide à identifier le sang ou les produits sanguins, la calcification et les maladies qui touchent le système vasculaire”, indique le Dr Miller. “Chez les enfants atteints de traumatisme crânien, elle met en évidence les zones affectées mieux que certaines des techniques que nous utilisions auparavant. Ces enfants présentent souvent des micro-lésions qui endommagent légèrement le sang et les tissus. L’utilisation de la SWIp nous aide à mieux caractériser l’étendue et la nature de la lésion. La caractérisation optimale d’une lésion favorise la fiabilité du diagnostic.”
“Je recommande vraiment aux autres utilisateurs d’adopter la SWIp. À l’origine, nous avions ajouté la séquence SWIp après nous être renseignés sur son utilité dans la littérature. Ensuite, nous avons directement comparé la SWIp aux séquences 2D à écho de gradient que nous utilisions. Après de nombreuses expériences cliniques pour en observer les avantages, nous étions assez confiants pour remplacer les anciennes séquences par des SWIp. Cela nous apporte une meilleure évaluation des processus physiologiques du cerveau qui étaient moins visibles sur nos anciennes séquences d’imagerie”, déclare le Dr Miller. “La SWIp est désormais notre séquence de base pour examiner les patients victimes de traumatismes crâniens au PCH, et nous l’utilisons épisodiquement pour les patients atteints d’anomalies vasculaires intracrâniennes.”
“Je crois que la SWIp est rapidement en train de devenir la norme dans l’imagerie des traumatismes crâniens grâce à sa haute sensibilité aux produits sanguins veineux. La SWIp peut même aider à attirer les patients ; nos neurochirurgiens nous demandent souvent d’examiner leurs patients sur nos scanners avec des techniques hautement sensibles comme la SWIp. On constate également une application grandissante des séquences SWIp sur d’autres anomalies vasculaires grâce aux possibilités d’évaluation physiologique du cerveau, par rapport à une imagerie structurelle standard.”
Le marquage des spins artériels pseudo-continu (pCASL) a été développé pour l’imagerie de perfusion cérébrale sans agent de contraste. “C’est vraiment intéressant pour les patients en pédiatrie, où la tendance générale est de limiter l’administration de produits de contraste”, explique le Dr Miller. Accroître la confiance dans des applications spécifiques “Nous avons renforcé notre confiance à l’égard du pCASL en le comparant à l’imagerie de perfusion de contraste. Une fois que nous étions sûrs qu’il représentait ce que les perfusions de contraste représentaient, nous avons amélioré la fiabilité de nos diagnostics par l’imagerie en série de la phase aiguë ou des phases à long terme chez plusieurs patients atteints d’anomalies artérielles.
Le Dr Miller utilise le pCASL pour tous les patients qui se présentent avec des anomalies cérébrovasculaires telles qu’un AVC aigu, ainsi que les patients présentant des signes d’inflammation cérébrale grave, et occasionnellement les patients atteints de tumeurs pour évaluer l’état de perfusion de leurs tumeurs.
“En association avec l’imagerie de diffusion pondérée, il aide à évaluer plus en détail le degré d’anomalie de perfusion chez un patient souffrant d’une ischémie aiguë. Plusieurs de nos patients souffrent d’insuffisance artérielle chronique à cause d’anciennes anomalies artérielles ou d’anomalies artérielles acquises telles que la drépanocytose ou la neurofibromatose. Parfois, la première manifestation de la progression de la maladie chez l’enfant est une réduction dans la perfusion cérébrale avant que les symptômes de l’AVC ne se manifestent cliniquement ou une réduction dans l’imagerie de diffusion pondérée. Nous utilisons le pCASL pour aider à définir l’anomalie de perfusion.”
Je recommanderais également aux autres nouveaux utilisateurs de commencer à interpréter les images pCASL par rapport aux autres images standard, T2, FLAIR et DWI, jusqu’à ce qu’ils puissent interpréter ces images par eux-mêmes en toute confiance.” “L’utilisation du pCASL est efficace chez les patients présentant une sténose cérébrovasculaire chronique, pour laquelle les cliniciens ont besoin d’informations sur la façon dont les mécanismes compensatoires du cerveau fonctionnent pour permettre la perfusion cérébrale. Souvent, les cliniciens prennent en compte la façon dont les mécanismes compensatoires apparaissent pour pouvoir administrer la perfusion adéquate au cerveau du patient. Ils peuvent également intervenir chirurgicalement ou prendre d’autres décisions de prise en charge.” “Une autre application spéciale est l’évaluation de la réactivité cérébrovasculaire avec un examen de perfusion Diamox, lors duquel on soustrait deux ensembles d’images pCASL.”
“Pour nous, désormais, le pCASL est plutôt devenu une acquisition de première ligne pour évaluer la perfusion, par opposition à l’imagerie de perfusion basée sur la DSC avec agent de contraste. Chez les patients qui ne sont pas censés recevoir de produit de contraste, nous pouvons réaliser un pCASL pour l’imagerie de perfusion sans avoir à arrêter l’examen, sortir le patient et poser une IV. Il annule également la nécessité du post-traitement pour les contrastes de susceptibilité dynamiques. En outre, il nous permet de répéter l’imagerie de perfusion sur le même patient et pendant la même imagerie, ce qui nous aide en termes de mouvements du patient, ou lorsqu’une acquisition doit être effectuée avant l’imagerie de perfusion pharmacologique.”
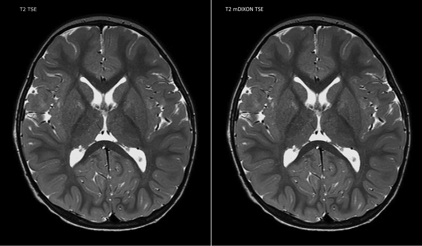
La TSE mDIXON Philips est une technique DIXON à deux points qui sépare les signaux d’eau et de graisse pour une imagerie sans graisse rapide, même dans le domaine complexe de la neuroanatomie. “La TSE mDIXON est l’une des améliorations les plus importantes des séquences d’imagerie que nous utilisions jusqu’alors au PCH”, admet le Dr Miller. “Son acquisition multi-paramétrique nous permet d’obtenir dans la même séquence des images avec suppression de graisse et les images T2 équivalentes sans suppression de graisse. En outre, les anciennes méthodes de suppression de graisse pouvaient être corrompues artificiellement par une anatomie inhabituelle du patient ou par une mauvaise application de l’opérateur. Avec mDIXON, nous disposons désormais d’une méthode efficace et fiable pour supprimer la graisse.” La saturation de la graisse a toujours été difficile aux extrémités du champ d’acquisition, en particulier dans l’imagerie du rachis total et dans les zones anatomiques difficiles, comme les régions inférieures du cou. “Toutefois, grâce aux capacités uniques de suppression de graisse du mDIXON, ces difficultés ne sont plus valables” affirme le Dr Miller. “Nous obtenons quotidiennement une suppression de graisse homogène dans presque toutes les conditions. Cela nous a également mené à un meilleur rendement puisque nous n’avons plus à répéter les séquences à cause des défaillances techniques.”
“La TSE mDIXON a renforcé la fiabilité de nos diagnostics en nous permettant de garder ou d’écarter les anomalies pour lesquelles la suppression de graisse est essentielle au diagnostic, comme les maladies métastatiques ou les anomalies osseuses.”
“La TSE mDIXON est la technique la plus utile chez les patients atteints de lésions ou d’anomalies des tissus mous, par exemple du visage et du cou, et chez les patients victimes d’anomalies de contraste principalement visibles avec la suppression de graisse”, indique le Dr Miller. “Toutes nos imageries du rachis contiennent désormais des images T2 mDIXON avec eau uniquement, ce qui nous permet d’identifier les pathologies potentiellement obscurcies par l’imagerie sans suppression de graisse comme les lésions osseuses. Par ailleurs, il n’est pas nécessaire d’acquérir des images TSE T2 standard supplémentaires car les images mDIXON en phase sont équivalentes aux images TSE T2 standard.”
L’utilisation de ces techniques est-elle efficace pour attirer les patients et les confrères ? Absolument, dit le Dr Miller. “Nos neurochirurgiens demandent à examiner leurs patients sur les scanners équipés de la fonction SWIp afin de profiter des techniques les plus sensibles. Nous avons connu de nombreux cas neurochirurgicaux d’enfants atteints de drépanocytose qui venaient spécifiquement nous voir pour l’imagerie pCASL. L’efficacité de la suppression de graisse de la TSE mDIXON est essentielle à de nombreux diagnostics, non seulement en pédiatrie mais également chez les adultes. Disposer d’une méthode de suppression de graisse fiable est un réel avantage pour les radiologues et les cliniciens. ”
Goetti R, O’Gorman R, Khan N, Kellenberger CJ, Scheer I. Arterial spin labelling MRI for assessment of cerebral perfusion in children with moyamoya disease: comparison with dynamic susceptibility contrast MRI. Neuroradiology. 2013 May; 55(5):639-47, Epub 2013 Feb https://www.ncbi.nlm.nih.gov/pubmed/23404242 Miller JH, Pokorney A, Naidu P, Eggers H, Shar M, Perkins T. Improved Fat Suppression and Field Homogeneity of mDixon TSE Total Spine Imaging compared to SPIR Fat Saturation for Post-Contrast T1-weighted Imaging. Proceedings of the Joint Annual Meeting of the ISMRM-ESMRB. Milan, Italy: International Society for Magnetic Resonance in Medicine, 2014.
Les résultats des études de cas ne présument pas de ce qu’il est possible d’obtenir dans d’autres cas. Les résultats des autres cas peuvent varier.
Les résultats obtenus par l’établissement décrit dans cet article ne sont pas nécessairement représentatifs de tous les établissements.
Notre newsletter IRM FieldStrength périodique vous propose des articles sur les dernières idées et tendances, les meilleures pratiques IRM, les cas cliniques, les conseils d’application et plus encore. Abonnez-vous dès maintenant pour recevoir notre newsletter IRM FieldStrength gratuite par e-mail.
Restez à jour avec l’IRM Philips

Les scanners IRM Ingenia1.5 T, Ingenia1,5T S et Ingenia3T sont des dispositifs médicaux de classe IIa, fabriqués par Philips Healthcare et dont l’évaluation de la conformité a été réalisée par l’organisme certifié DEKRA Certification BV 0344. Ils sont destinés au diagnostic de différentes affections. Les actes effectués avec ces scanners IRM sont pris en charge par les organismes d’assurance maladie dans certaines situations. Lisez attentivement les manuels d’utilisation. Ces dispositifs médicaux sont des produits de santé réglementés qui portent, au titre de cette réglementation, le marquage CE.
You are about to visit a Philips global content page
Continue