15.10.2021, 12.00 Uhr, Raum Lloyd & Online
Neue Therapieoptionen und moderne Bildgebung

Dr. Konstantinos Stavroulakis Anwendung von IVUS bei peripheren Interventionen

Dr. Martin Schröder "Leave nothing behind" in komplexen Läsionen

Dr. Christian Wissgott Dissektionsmanagement mit dem Tack System

Arun Kumarasamy Bildgebende Optionen zur Gefäß-analyse und Perfusionsbeurteilung
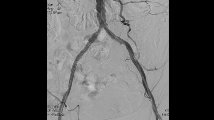
Die Integration von Visualisierungs- und Interventionstechnologien ermöglicht es Ärzten, das Gesamtbild zu sehen und einen fundierteren und individualisierten Verfahrensansatz zu schaffen. Philips bietet hervorragende Bildgebung kombiniert mit einem umfassenden Angebot an Geräten, die auch für besonders schwierige Eingriffe geeignet sind.

Das flexible Philips Produkt- und Technologieportfolio für periphere Gefäße unterstützt Ärzte bei der schnellen und genauen Beurteilung von Patienten mit peripherer arterieller Verschlusskrankheit sowie bei der Vorbereitung der Gefäße auf die bestmögliche gezielte Behandlung.

Unsere Bildgebungskatheter für periphere Blutgefäße erleichtern die Lokalisierung der Erkrankung und die Beurteilung der Läsionsmorphologie, einschließlich von Calcium und Thromben. IVUS kann Sie außerdem dabei unterstützen, die richtige Stent-Größe auszuwählen und die Vollständigkeit der Behandlung zu verifizieren.

Unsere Instrumente für die Atherektomie peripherer Gefäße eignen sich hervorragend für die Entfernung von Obstruktionen des Blutstroms. Unsere nicht laserbasierten Produkte können autonom eingesetzt werden und müssen nicht mit anderen Systemen kombiniert werden.

VesselNavigator bietet eine intuitive und fortlaufende 3D Roadmap basierend auf vorhandenen CT-Angiographie- und MRA-Datensätzen, um Sie bei peripheren Verfahren durch das Gefäßsystem zu führen.

Hochauflösende Bilder von Gefäßen mit hervorragender Detailgenauigkeit zur Unterstützung durchdachter Behandlungsstrategien, präziser Navigation und Verlaufsbeobachtung.
You are about to visit a Philips global content page
Continue