
Die pädiatrische Versorgung entwickelt sich ständig weiter. Da Erkrankungen, die früher oft tödlich verliefen, aufgrund von Fortschritten in der pädiatrischen Medizin inzwischen ein viel geringeres Risiko für Kinder darstellen, müssen Ärzte ihre Aufmerksamkeit nicht mehr auf die Diagnose akuter Fälle beschränken, sondern können sich verstärkt der kontinuierlichen Behandlung chronischer pädiatrischer Krankheitsbilder und der Therapie zahlreicher komplexer Fälle widmen. Die hochklassige Ultraschalllösung von Philips zur pädiatrischen Beurteilung ist auf eine besonders schnelle und zuverlässige Bildgebung ausgelegt, die genau auf die spezifischen Bedürfnisse von Kindern abgestimmt ist und die pädiatrische Versorgung auf ein neues Level hebt.
„In vielen Fällen können wir mit diagnostischem Ultraschall bereits die Diagnose stellen, die kritische klinische Entscheidungen ermöglicht, ohne auf andere, invasive Bildgebungsmodalitäten zurückgreifen zu müssen.“
Jeffrey Miller, MD, Leiter der Radiologie
Pädiatrischer Neuroradiologe, Phoenix Children’s Hospital, Phoenix, AZ

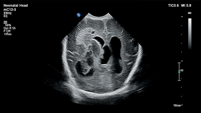
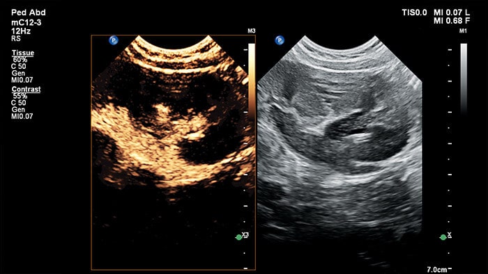
PureWave Bildgebung
Die weltweit erste Familie von für die pädiatrische Bildgebung optimierten Premium-PureWave-Schallköpfen, einschliesslich des neuen mC12-3, bietet im Vergleich zur vorherigen Generation pädiatrischer Schallköpfe ein um 30 % verbessertes Eindringvermögen.*



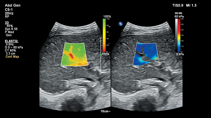
ElastQ Imaging
ElastQ Imaging ermöglicht die Echtzeit-Beurteilung der Gewebesteifigkeit mit grossem Sichtfeld – ideal für Kinder, die möglicherweise schwer schallbar sind.



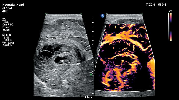
MicroFlow HD
MicroFlow Imaging (MFI) bietet eine hohe Bildfrequenz und 2D-Bildqualität und wendet gleichzeitig fortschrittliche Methoden zur Artefaktreduktion an. Mit MFI HD werden die Empfindlichkeit und Auflösung der Standard-MFI nun mehr als verdoppelt** – ideal für eine definitive Analyse des Blutflusses bei zahlreichen pädiatrischen klinischen Anwendungen.



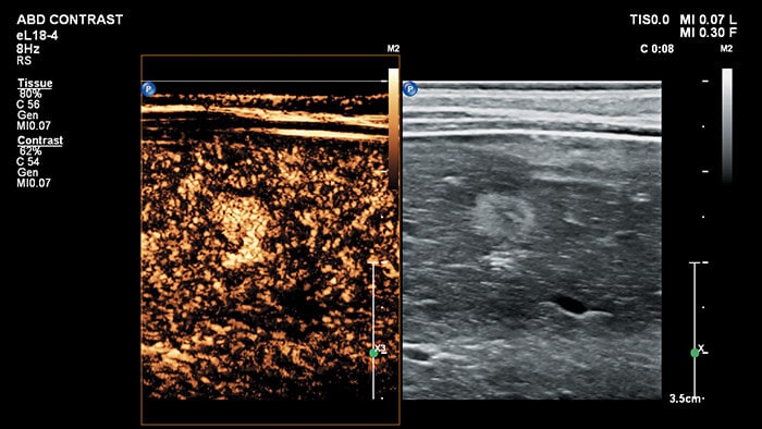
Kontrastmittel-Bildgebung
Ultraschall-Kontrastmittel verändern die Rolle des pädiatrischen Ultraschalls bei der Untersuchung der Leber und anderer Organe. Mit pädiatrischem kontrastmittelverstärktem Ultraschall (CEUS) können Ärzte die Vergrösserungsmuster verdächtiger Leberläsionen in Echtzeit beobachten, was eine schnellere und zuverlässigere Diagnosestellung und Behandlungsplanung ermöglicht.


Downloads
*Intern vorgenommene Vergleichsmessung an kalibriertem Gewebe-Phantom zwischen den Schallköpfen mC12-3 und C8-5 bei einem EPIQ Elite Ultraschallsystem. **Intern vorgenommene Vergleichsmessung zwischen Standard-MFI und EFI HDD mit klinischen Zielen und Standard-Messmethode.








You are about to visit a Philips global content page
Continue