Philips Compressed SENSE ermöglicht innerhalb der gleichen für eine Untersuchung geplanten Scandauer MR-Bilder mit höherer Auflösung, die zu einer gesteigerten Diagnosesicherheit beitragen. Sequenzen können ersetzt oder hinzugefügt werden, um wichtige Details besser hervorzuheben. Eine 2D-Sequenz kann durch ein 3D-Protokoll ersetzt werden, wenn verschiedene Ausrichtungen benötigt werden. Lesen Sie hier, welche Vorteile Compressed Sensing auch Ihrem klinischen Bereich bieten kann.

Ersetzen von Sequenzen

Verbesserte Auflösung

Zusätzliche Sequenzen

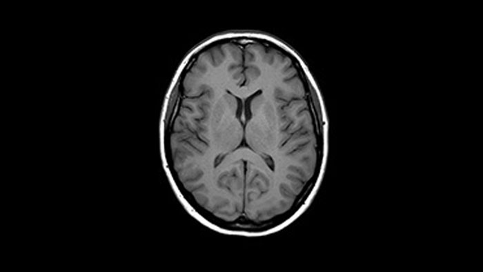
Bei einigen Untersuchungen, beispielsweise von Gehirn und Wirbelsäule, lässt eine hohe räumliche Auflösung sehr kleine Nerven und Gefäße besser erkennen. Um diese Auflösung zu erreichen, können mit Compressed SENSE 2D-MR-Scansequenzen durch schnellere 3D-Sequenzen ersetzt werden.

Mit Compressed SENSE lässt sich ein 2D-FLAIR-Scan mit einer Ausrichtung durch einen volumetrischen 3D-FLAIR-Scan mit mehreren Ausrichtungen ersetzen. Die Scandauer beträgt dabei lediglich dreieinhalb Minuten.
Ich erstelle häufig Bilder des Gehirns. Bisher haben wir die FLAIR-Sequenz mit einer Schichtdicke von 5 mm verwendet. Mit Compressed SENSE können wir jetzt einen volumetrischen 3D-Scan statt in sechs Minuten in etwa dreieinhalb Minuten durchführen.“
Dr. Mark Oswood, MD, PhD, Neuroradiologe, Hennepin Healthcare, Minneapolis, USA

Bei herkömmlichen MR-Scanmethoden bedeutet die Bildgebung mit hoher Auflösung mitunter eine lange Scandauer. Dies kann für Patienten mit Schmerzen oder Engegefühlen sehr schwierig sein. Auch für eine stark ausgelastete Abteilung ist eine lange Scandauer für hochauflösende Bilder möglicherweise nicht in den Zeitplan integrierbar. Compressed SENSE ermöglicht schnelle isotrope 3D-Bilder im Submillimeterbereich (0,7 mm oder weniger) in weniger als 5 Minuten, sodass auch herausfordernde Patientenfragestellungen und anatomische Strukturen zuverlässiger diagnostiziert werden können.

Links: Herkömmlicher 3D-mDIXON-XD-Scan mit isotroper Voxelgröße von 1,0 mm, Scandauer 2:22 Minuten Rechts: Compressed SENSE 3D-mDIXON-XD-Scan mit isotroper Voxelgröße von 0,8 mm, Scandauer 2:21 Minuten
Mit freundlicher Genehmigung von: Kurashiki Zentralkrankenhaus, Okayama. Japan
Bei Brustuntersuchungen ist eine hohe Auflösung wichtig, um sehr kleine Brustläsionen zu erkennen. Wir benötigen also T1- und T2-gewichtete 2D-Bilder in hoher räumlicher Auflösung, aber auch eine kurze Scandauer. Mit Compressed SENSE konnten wir die räumliche Auflösung und damit auch unsere Diagnosesicherheit erhöhen.“
Dr. Takashi Koyama, MD, PhD, diagnostischer Radiologe und Leiter des Radiologiezentrums und der diagnostischen Radiologie, Kurashiki Zentralkrankenhaus, Japan

Compressed SENSE gibt MR-Abteilungen die Flexibilität, innerhalb des Zeitfensters für einen MR-Scan so viele relevante Daten wie möglich zu erfassen. Die Geschwindigkeit von Compressed SENSE ermöglicht die Aufnahme von zusätzlichen routinemäßigen und funktionellen Sequenzen für zuverlässigere diagnostische Informationen.

Dieser Fall demonstriert die Möglichkeit, zusätzliche Sequenzen zum selben Zeitfenster hinzuzufügen und so letztendlich die Diagnosesicherheit zu erhöhen. Neben klassischen TSE-Sequenzen ist im selben Zeitfenster auch eine funktionelle Sequenz mit diffusionsgewichteter Bildgebung möglich, die zusätzliche Informationen für die Diagnosestellung liefert.
Die schnelleren Scans mit Compressed SENSE erlauben uns die Aufnahme einer zusätzlichen Sequenz. Wir erhalten so hochwertige Bilder für zuverlässige Diagnosen.“
Sachi Fukushima, MTRA, Kurashiki Zentralkrankenhaus, Japan

Der besondere Vorteil der Philips Compressed SENSE Implementierung ist, dass sie universell auf alle 2D- und 3D-Scans sowie auf alle anatomischen Bereiche anwendbar ist. Das macht unglaublich viel aus.“
Dr. Lawrence N. Tanenbaum, RadNet, Beverly Hills, CA, USA

Compressed SENSE kann die meisten MR-Scansequenzen ohne Kompromisse bei der Bildqualität beschleunigen. Dadurch konnte die KOYASU Neurochirurgische Klinik (KNC) ihre Nutzungsdauer für MR-Untersuchungen verkürzen und den Durchsatz ihrer MR-Scanner um durchschnittlich drei zusätzliche Patienten pro Tag erhöhen.

Erfahren Sie mehr über die wichtigsten Prinzipien von Compressed SENSE und wie es einen Paradigmenwechsel in der Effizienz herbeiführt. Die Bildqualität ist ein Grundstein von Compressed SENSE; sie kann ausserdem Scans beschleunigen, die räumliche Auflösung erhöhen und den Patientenkomfort in der klinischen Magnetresonanztomographie verbessern.

Das MR-Team am Kurashiki Zentralkrankenhaus nutzt Compressed SENSE in den meisten seiner Untersuchungsprotokolle für Gehirn, Wirbelsäule, Abdomen und Herz auf seinem Ingenia 1.5T. Patienten und Mitarbeiter begrüssen gleichermassen die schnellen und hochwertigen MR-Scans.

Ihre Zeit ist kostbar

Bei nahezu unverminderter Bildqualität1

Für höhere Patientenzufriedenheit
You are about to visit a Philips global content page
Continue