Aufgrund ihrer höheren Transparenz*, Detailgenauigkeit und Auflösung sorgt die xMATRIX Technologie für schnelle und einfache Untersuchungen zum Wohl von Klinikpersonal und Patienten. *im Vergleich zu Philips Ultraschallsonden ohne xMATRIX-Technologie
xMATRIX sorgt aufgrund der hohen Transparenz, Detailgenauigkeit und Auflösung für schnelle und einfache Untersuchungen – zum Wohl von Klinikpersonal und Patienten. Die xMATRIX Technologie ermöglicht die schnelle und einfache Volumenerfassung, unterstützt mehrere Abfragefunktionen und bietet Ansichten, die mit der 2D-Bildgebung nicht möglich sind – all dies mit aussergewöhnlicher Bildqualität. Sie ermöglicht die zuverlässige Beurteilung von Anatomie und Funktion, die problemlose Erkennung von pathologischen Veränderungen und die genaue Visualisierung von strukturellen Zusammenhängen im dreidimensionalen Raum.

Auf Knopfdruck bietet xMATRIX alle Betriebsarten in einem einzigen Schallkopf: 2D, 3D/4D, Live 3D Echo, Live xPlane, Live-3D-Zoom, Live-3D-Komplettvolumen, elektronische Rotation iRotate, Live MPR, MPR, M-Mode, Doppler, Farbdoppler und CPA. Sie müssen also zum Schallkopfwechsel nicht die Erfassung anhalten. xMATRIX Volumendaten können ebenso wie CT- und MR-Bilder in Ihrem PACS angezeigt werden. Nach der Erfassung der Volumendaten erfasst das System die X-, Y-, Z- oder iSlice MPR-Bildschleifen mit nur einem Tastendruck und leitet diese an das PACS weiter. Anzeigen und Abfragen ganz nach Ihrem Zeitplan!

xMATRIX Schallköpfe unterstützen die verschiedensten klinischen Applikationen, wie u.a. Herzuntersuchungen bei Erwachsenen und Kindern, Abdomen,- Gefäss-, Geburtshilfe- und gynäkologische Untersuchungen sowie kardiologische und abdominale Eingriffe. xMATRIX ist für die xMATRIX Systeme EPIQ 7 und CX50 erhältlich.

xMATRIX Schallköpfe setzen neue Massstäbe in puncto Scanleistung. Sie nutzen das Potenzial von 150 Computerplatinen mit 2.500 bis über 9.000 voll abgetasteten Kristallelementen für die 360-Grad-Fokussierung und Strahlsteuerung. In Kombination mit der nSIGHT und PureWave Kristalltechnologie von Philips wird ihre Leistung noch weiter erhöht.
Mit Live-Volumenbildgebung können Komplettvolumen mit Echtzeit-Bildraten und sehr hoher
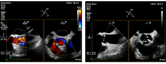
Mit der Live xPlane Bildgebung können zwei Ebenen gleichzeitig mit voller Auflösung und dadurch doppelt so viele klinische Informationen wie bei der herkömmlichen 2D-Bildgebung in derselben Zeit erfasst werden.

Untersuchungskomfort While
Bei Herzuntersuchungen ermöglicht die Live xPlane Bildgebung die gleichzeitige Erfassung von zwei Ebenen desselben Herzschlags und so auch die schnelle, zuverlässige Erfassung wichtiger Informationen.


iRotate ist eine xMATRIX Innovation zur Erleichterung der Bildqualität und des Arbeitsablaufs. Statt den Schallkopf manuell drehen zu müssen, um ein Fenster zu finden, das nicht durch Rippen verdeckt ist, können Sie mit der elektronischen Rotation iRotate die Ansicht im Schallfenster erfassen. Mit dem X5-1 Schallkopf und iRotate können Sie nach Spitzenbelastung des Patienten im selben Schallfenster ein vollständiges Stressecho-Protokoll (4-Kammer-, 2-Kammer- und 3-Kammer-2D-Bilder) erstellen – ohne den Schallkopf zu bewegen. Das bedeutet weniger Belastung für das Handgelenk und eine deutliche Visualisierung vergrösserter linker Ventrikel bei Patienten mit Herzinsuffizienz.
xMATRIX Schallköpfe unterstützen sämtliche Betriebsarten für alle Patienten:
Lösung mit einem Schallkopf für 2D- und 3D-Echo – klinische Vorteile und bessere Arbeitsabläufe (in engl. Sprache) Andreas Franke, Leiter der Kardiologie und internistischen Intensivmedizin am Klinikum Siloah, Hannover, Deutschland
Live-Untersuchungsmitschnitt: Diagnose eines Vorhofseptumdefekts John D Carroll, Director of Cardiac & Vascular Center and Interventional Cardiology, Universität Colorado, Aurora, Colorado
You are about to visit a Philips global content page
Continue