DE
FR
Bildgebung im 1. Trimenon

Überzeugende Bildgebung in allen Schwangerschafts­dritteln

Die EPIQ-Produktreihe mit ausgereiften Schallköpfen erfüllt die Anforderungen auch Ihrer anspruchsvollsten gynäkologischen Untersuchungen und während der gesamten Schwangerschaft.

 

  • C9-2 PureWave-Breitband-Convex-Schallkopf für Hochfrequenz-Bildgebung in der Gynäkologie und der Geburtshilfe, insbesondere für die Untersuchung im Hinblick auf mögliche Anomalien im ersten Schwangerschaftstrimester
  • C10-3v PureWave-Breitband-Endo-Convex-Schallkopf, ideal für anspruchsvolle Myom- und komplexe Ovar-Untersuchungen sowie Bildgebung im ersten Schwangerschaftstrimester
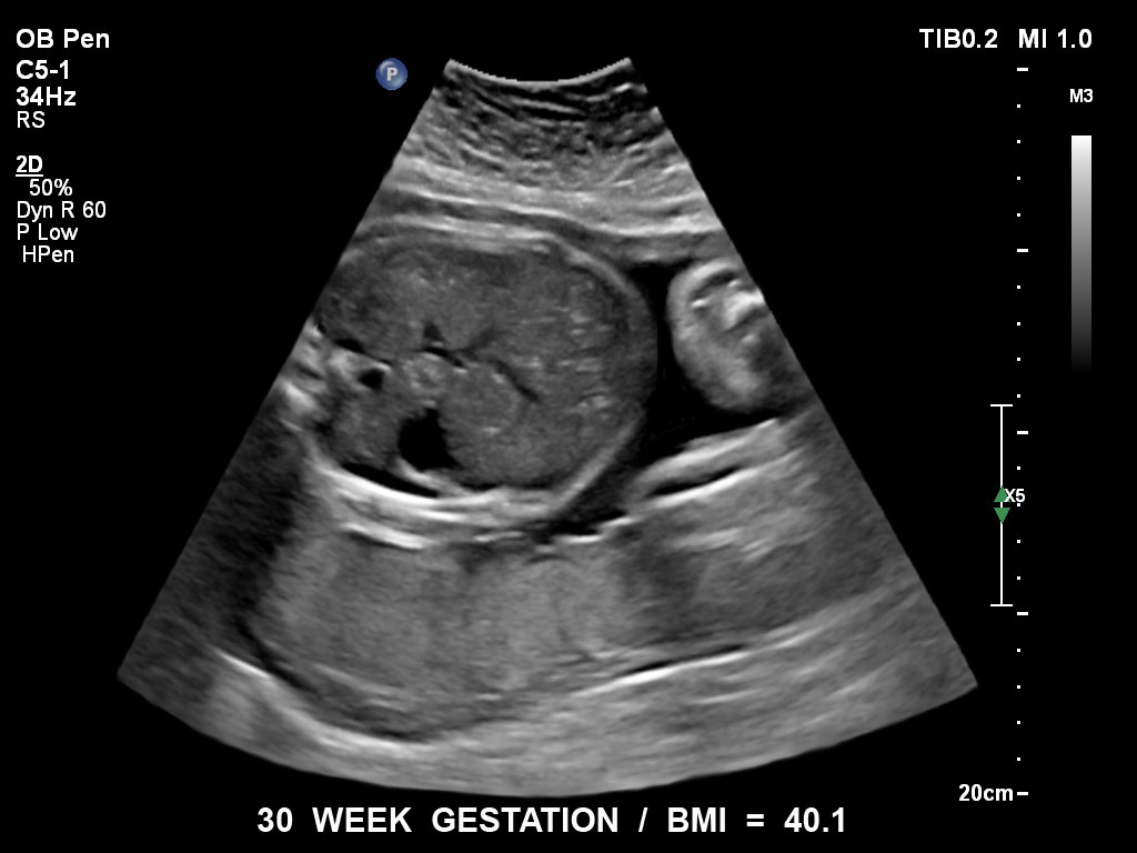
  • C5-1 PureWave-Breitband-Convex-Schallkopf für hohe Eindringtiefen in der Gynäkologie und der Geburtshilfe, für Patientinnen mit Schwangerschaftsdiabetes oder vorzeitigem Blasensprung
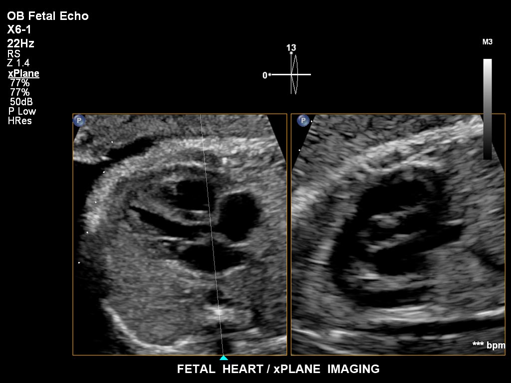
  • X6-1 PureWave-xMATRIX Schallkopf für diagnostische Anforderungen, die über die 2D-Bildgebung hinausgehen, setzt mit PureWave neue Massstäbe u.a. bei der Live-Volumenbildgebung und Live-Bildgebung in zwei Ebenen gleichzeitig

Nehmen Sie Kontakt zu uns auf!


Wie können wir Ihnen helfen? Schildern Sie uns kurz Ihr Anliegen und wir leiten Ihre Frage an die verantwortliche Kontaktperson weiter. Wir melden uns so bald wie möglich bei Ihnen.

*

Details zu Ihrer Anfrage

* Benötige Angabe

*
*
*
*
*
*
*
*
*

Bitte spezifizieren Sie Ihre Anfrage, so dass wir sie zielgerichteter bearbeiten können.

We work with partners and distributors who may contact you about this Philips product on our behalf.

*
*

Final CEE consent

You are about to visit a Philips global content page

Continue

You are about to visit a Philips global content page

Continue

Unsere Seite wird am besten mit der neuesten Version von Microsoft Edge, Google Chrome oder Firefox angezeigt.