Prodiva 1.5T ist ein robuster, volldigitaler MR-Scanner von Philips und wurde für ausgezeichnete klinische Leistung bei gleichzeitiger Anwenderfreundlichkeit entwickelt. Flexible Spulen und der vereinfachte Breeze Arbeitsablauf für Prodiva 1.5T bedeuten ein besseres Erlebnis für Anwender und Patienten. Prodiva 1.5T ist in der Radiologie Schiffer in Deutschland und am Allgemeinkrankenhaus Seirei Mikatahara in Japan im Einsatz und übertrifft dort bereits alle Erwartungen.

Dr. Silvia Schiffer Radiologin, Direktorin der Radiologie Schiffer, einem privaten Bildgebungszentrum mit 30 Mitarbeitern. Ihre klinischen Interessen liegen in der neurologischen und muskuloskelettalen Magnetresonanztomographie. Vor Kurzem erweiterte sie die Bildgebungsfunktionen und -kapazitäten der Einrichtung mit einen Umzug in neue Räumlichkeiten.

Sandra Maass Leitende MRTA der Radiologie Schiffer in Hennigsdorf bei Berlin, Deutschland.

Dr. Mamoru Takahashi Radiologe, seit 2000 in der Radiologieabteilung des Allgemeinkrankenhauses Seirei Mikatahara in Japan. Seine Interessen umfassen die gesamte Bandbreite der diagnostischen Radiologie, in den letzten Jahren galt sein besonderer Schwerpunkt der MRT der Abdominalregion und insbesondere der grossen Gefässe.
Radiologie Schiffer, Deutschland
Im ersten Quartal 2017 bezog die Radiologie Schiffer in Hennigsdorf bei Berlin neue Räumlichkeiten, in denen MR-, CT- und Röntgenuntersuchungen angeboten werden. Im Rahmen dieses Umzugs entschied sich die Direktorin und leitende Radiologin Silvia Schiffer gegen eine Verlängerung der Arbeitszeiten in die Abendstunden und Wochenenden und stattdessen für ein zweites MR-System, mit dem die wachsenden Kapazitätsanforderungen für MRT erfüllt werden können. Nachdem sie Informationen zu mehreren Optionen eingeholt hatte, fiel ihre Wahl auf das Philips Prodiva 1.5T CX, das für ihren Bedarf ideal geeignet war. Entscheidende Faktoren für diese Wahl waren die klinischen Funktionen von Prodiva in Verbindung mit dem günstigen Kostenpunkt. Eine kompakte Konfiguration, geringe Deckenhöhe und ein leichter Magnet stellten wenige Ansprüche an den Standort und Frau Schiffer war auch vom verbesserten Arbeitsablauf und der Effizienz des Systems angetan. „Natürlich wollten wir einen anwenderfreundlichen und leistungsstarken Scanner. Für mich war es darüber hinaus besonders wichtig, dass die Bildqualität nicht schlechter als bei unserem Ingenia MR-Scanner ist; schliesslich möchte ich nicht, dass die überweisenden Ärzte einen Qualitätsunterschied zwischen den beiden Systemen feststellen können; das wäre nicht gut für uns.“

Frau Silvia Schiffer
Positionierung und Bedienung: reibungslos und einfach Nach dem Aufstellen des Scanners erhielten Frau Schiffer und ihr Team eine massgeschneiderte Schulung, die sich an ihren klinischen und arbeitsablaufbezogenen Anforderungen und Zielen orientierte. „Ich war von Anfang an beeindruckt. Installation und Einrichtung verliefen reibungslos und unkompliziert. Innerhalb von drei Tagen beherrschten unsere MTRAs das neue System sicher“, erinnert sich Frau Schiffer. Seit der Installation des Prodiva 1.5T konnten sie und ihr Team eine Reihe von Verbesserungen in der täglichen Arbeit feststellen. Der unkomplizierte Breeze Arbeitsablauf des Scanners unterstützt die einfache Positionierung der Patienten in weniger Einzelschritten, eine schnelle Vorbereitung und kurze Wechselzeiten. Extrem leichte anteriore Spulen, kurze Kabel und kleine Anschlüsse sind positive Aspekte für die MTRAs. Die leitende MTRA Sandra Maass sagt: „Das gesamte Team und ich sind begeistert von der Arbeit mit Prodiva und profitieren jeden Tag von den vielen Vorteilen im Arbeitsablauf.“ Frau Schiffer fügt hinzu: „Die flexiblen, leichten Spulen passen sich der Körperform der Patienten sehr gut an und die Anschlüsse sind hervorragend; das Anschliessen und Trennen ist mühelos zu bewerkstelligen.“ „Die Schulterspule ist ein gutes Beispiel für die einfache Positionierung mit Prodiva“, meint Frau Maass. „Andere Schulterspulen sind häufig recht steif, sodass Patienten mit Schmerzen, grossen, kräftigen Schultern oder einer etwas veränderten Schulter- oder Wirbelsäulenanatomie nicht gut in der Spule positioniert werden können, was häufig zu einer geringeren Bildqualität führt. Die Prodiva Schulterspule hingegen ist sehr flexibel und hat eine grosse Abdeckung, das heisst, der Patient lässt sich leichter gut positionieren, was zur hervorragenden Bildqualität und hohem SNR unserer Schulteruntersuchungen beiträgt.“ Hohe Qualität der Bilder beeindruckt Auch in klinischer Hinsicht ist Frau Schiffer vom Prodiva 1.5T äusserst beeindruckt. In ihrer Praxis werden ungefähr 50% neurologische und 40% muskuloskelettale Scans ausgeführt, der Rest verteilt sich auf Gefäss-, Abdominal- und sonstige Untersuchungen. Das Radiologieteam erzielt in allen Anatomien gute Ergebnisse, was von den überweisenden Ärzten bestätigt wird. „Die hohe Bildqualität und die erweiterten Funktionen von Prodiva, unter anderem die diffusionsgewichtete Bildgebung in vielen Organen, verbessern unsere Diagnosesicherheit und unterstützen den Entscheidungsprozess“, erklärt Frau Schiffer. „Prodiva war eine ausgezeichnete Investition und auf jeden Fall die richtige Wahl für uns.“ „Die Qualität der Magnetresonanzangiographie ohne Kontrastmittel beeindruckt uns immer wieder“, freut sich Frau Schiffer. „Wir können nicht nur ohne die Injektion eines Kontrastmittels arbeiten, sondern bekommen auch Bilder, zum Beispiel der Karotiden, von erstaunlicher Qualität. Auch Schulter- und Handuntersuchungen sind ausnehmend sehr gut. Bei Bildern von der Hand werden beispielsweise auch die Fingerspitzen und das gesamte Handgelenk mit einem hohen Signal-Rausch-Verhältnis erfasst.“
Allgemeinkrankenhaus Seirei Mikatahara, Japan
Auch im Allgemeinkrankenhaus Seirei Mikatahara in der Präfektur Shizuoka in Japan zeigt Prodiva 1.5T Wirkung. Der Radiologe Dr. Takahashi und seine Kollegen in der grossen Radiologieabteilung arbeiten mit drei MR-Scannern, u.a. einem Ingenia 3.0T, für Untersuchungen einer Population mit vielen älteren Patienten. Als Ersatz für ein älteres MR-System entschied man sich für Prodiva 1.5T – und die klinischen Funktionen und Vorteile im Arbeitsablauf des neuesten Scanners haben grosse Wirkung gezeigt. Dr. Takahashi sagt: „Für ein 1.5T-System liefert Prodiva ausgezeichnete Qualität, die meine Erwartungen noch übertroffen hat. Inzwischen machen wir einige Untersuchungen, die wir vorher nur auf einem 3T-System ausgeführt hätten, mit Prodiva.“ Ein hohes Signal-Rausch-Verhältnis, Bewegungsunterdrückung und eine hervorragende Homogenität des Magnetfelds unterstützen ausgezeichnete Ergebnisse für das Team. „Ich bin besonders beeindruckt von der Qualität der Fettsuppression mit mDIXON XD, vor allem im Halsbereich und bei Gelenken der Extremitäten, die für uns häufig problematisch waren“, erläutert Dr. Takahashi. „Seit wir Prodiva haben, mussten wir aufgrund des hohen SNR, der Bewegungsunterdrückung und der hervorragenden Homogenität des Magnetfelds weniger Wiederholungsscans durchführen.“ Dr. Takahashi setzt Prodiva 1.5T für eine Vielzahl von Untersuchungen ein, u.a. Herz, Gefässe, Abdomen und muskuloskelettale Anwendungen. Darüber hinaus führt er auch Ganzkörperuntersuchungen mit T1, STIR, T2WI und Diffusionssequenzen auf dem Prodiva System durch. „Ich bin beeindruckt von der kurzen Vorbereitungszeit der Patienten und der schnellen Scandauer“, betont er. „Normalerweise ist die Diffusionsbildgebung des Körpers aufgrund von Verzerrungen sehr anspruchsvoll. Mit Prodiva erzielen wir hier sehr gute Ergebnisse.“

Frau Silvia Schiffer
Flexible Spulen vereinfachen den Arbeitsablauf. Was den Arbeitsablauf angeht, so sind die leichten, flexiblen Spulen sehr anwenderfreundlich. „Unsere MTRAs sind begeistert vom Breeze Arbeitsablauf des Systems. Die integrierte neurovaskuläre Wirbelsäulenspule und die flexible dS MSK-Spule machen die Patienteneinstellung leichter“, erklärt Dr. Takahashi. „Zudem sind sie für die grosse Population älterer Patienten im Seirei Mikatahara Krankenhaus angenehm. Der Tisch ist relativ niedrig, sodass auch Patienten mit eingeschränkter Beweglichkeit leicht und bequem auf die Liegefläche kommen. Aufgrund der kompakten Aufstellanforderungen des Systems konnten wir darüber hinaus unser Wartezimmer für Patienten und unseren Kontrollraum vergrössern.“



Philips Prodiva 1.5T bietet eine anwenderfreundliche, robuste Bildgebung in Verbindung mit einem reibungslosen, klar geführten Arbeitsablauf. Der Breeze Arbeitsablauf des Systems gestaltet mit seiner intelligenten Automatisierung Routineaufgaben wie die Tischpositionierung und Spulenauswahl effizienter. Breeze verringert Positionierungsschritte um bis zu 34%1, wodurch Untersuchungen reibungsloser ablaufen und der Patientendurchsatz erhöht werden kann. Flexible Spulen und Anschlüsse unterstützen die einfache Patienteneinstellung. Dünne, leichte Spulen passen sich unterschiedlichen Patientenanatomien gut an und ermöglichen eine schnelle, effiziente und angenehme Untersuchung. Prodiva 1.5T punktet mit einer kleinen Stellfläche, sodass die Ausgaben für Installation und Standort im Rahmen bleiben. Prodiva kann auch dort installiert werden, wo viele andere MR-Systeme nicht möglich sind.2 Durch seine geringen Folgekosten und die vielen Möglichkeiten einer langfristigen Wertschöpfung ist Prodiva 1.5T eine ausgezeichnete Wahl für Einrichtungen, die das Beste aus ihrer Investition holen wollen. Der robuste Neuzugang im MR-Portfolio von Philips bietet schon jetzt intelligente Lösungen für die heutigen Herausforderungen in der MRT. Philips Prodiva 1.5T enthält die digitale dStream Technologie für Bilder von hoher Qualität. Die Digitalisierung des Signals in der Spule erfasst das MR-Signal in seiner reinsten Form. Dies schafft ein höheres Signal-Rausch-Verhältnis, was wiederum zur Verbesserung der Bildqualität oder zur Verringerung der Scandauer genutzt werden kann. Leistungsstarke klinische Applikationen garantieren eine zuverlässige und gleichbleibende Qualität und unterstützen somit Diagnosesicherheit und Behandlungsentscheidungen von Ärzten. Mit der XD-Funktion zur Fettsuppression, Bewegungskorrektur und Metallartefaktreduktion liefert Prodiva 1.5T in kürzester Zeit ausgezeichnete Ergebnisse und ebnet den Weg für eine hohe Leistung.
1 Basierend auf einer internen Studie zum Vergleich des Workflows mit einem Achieva System 2 „Andere MR-Systeme“ bezieht sich hier auf Ganzkörper-MR-Systeme mit 60 cm und 1,5 T.
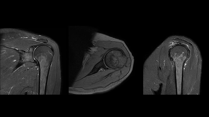
Bildgebung der Hand mit Prodiva deckt die Fingerspitzen und das gesamte Handgelenk ab. Die dS MSK M Spule ist anwenderfreundlich.

Die Prodiva Schulterspule ist sehr flexibel und hat eine grosse Abdeckung; dies erleichtert eine gute Positionierung, was wiederum zur ausgezeichneten Bildqualität und hohem SNR beiträgt, die wir in unseren Schulteruntersuchungen erreichen.

Scandauer: 2:55 Minuten, FOV: 160 mm, erfasste Voxel: 0,55 x 0,83 x 3,0 mm.
Scandauer: 04:19 Minuten, FOV: 160 mm, erfasste Voxel: 0,55 x 0,80 x 3,0 mm.
Scandauer: 02:50 Minuten, FOV: 160 mm, erfasste Voxel: 0,70 x 0,99 x 3,0 mm.
Die Prodiva Schulterspule ist sehr flexibel und hat eine grosse Abdeckung; dies erleichtert eine gute Positionierung, was wiederum zur ausgezeichneten Bildqualität und hohem SNR beiträgt, die wir in unseren Schulteruntersuchungen erreichen.

Scandauer: 2:55 Minuten, FOV: 160 mm, erfasste Voxel: 0,55 x 0,83 x 3,0 mm.

Scandauer: 04:19 Minuten, FOV: 160 mm, erfasste Voxel: 0,55 x 0,80 x 3,0 mm.

Scandauer: 02:50 Minuten, FOV: 160 mm, erfasste Voxel: 0,70 x 0,99 x 3,0 mm.
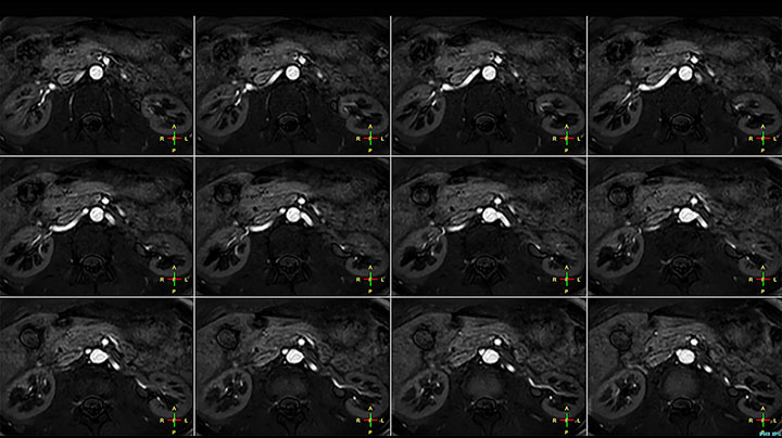
Bildgebung der Nierenarterien ohne Kontrastmittel mit Prodiva 1.5T.



MR-Untersuchung mit Prodiva 1.5T, 72-jährige Patientin mit malignem Melanom am Knöchel. mDIXON TSE bietet eine hervorragende Fettsuppression ohne Verzerrung, wie sie ansonsten bei diesen Extremitäten häufig auftritt.


Obgleich die Region zwischen Hals und oberer Lungenspitze für ein MR-System einer der schwierigsten Bereiche ist, ergeben die mit Prodiva 1.5T erfassten Bilder bei diesem 56-jährigen Mann mit einem Pancoast-Tumor rechts eine gute Qualität. mDIXON TFE Bilder zeigen eine hervorragende Fettsuppression im Halsbereich und die diffusionsgewichtete Bildgebung enthält fast keine Verzerrungen.

MRT des Fingers mit hohem SNR und guter Auflösung in einem 10-cm-Sichtfeld auf Prodiva 1.5T. Die Diagnose bei diesem 63-jährigen Patienten lautet Knochenelasmanose.

MR-Untersuchung einer 61-jährigen Patientin mit einem malignen Lymphom mit diffusionsgewichteter Ganzkörper-MRT sowie PET. Auf den gezeigten Bildern ist die Auflösung mit der diffusionsgewichteten MRT besser als mit der PET, die eine Darstellung der kleinen Beckenläsionen ermöglicht; im Halsbereich ist praktisch keine Verzerrung zu erkennen.

Hier handelt es sich um eine 43-jährige Patientin mit einem supraklavikulären Nervenscheidentumor links. Die Läsion ist auf den STIR VISTA Bildern und auf der MR-Neurographie mit diffusionsgewichteter MRT gut zu erkennen. Die Untersuchung wurde mit Prodiva 1.5T durchgeführt.


Erfasste Voxelgrösse: 1,2 x 1,3 x 2,4 mm, rekonstruierte Voxelgrösse: 0,7 x 0,7 x 1,2 mm, dS SENSE Faktor: 2, Scandauer: 5:46 Minuten.
You are about to visit a Philips global content page
Continue