Damit sich die medizinischen Teams bei Gefäßeingriffen voll und ganz auf die Behandlung der Patienten konzentrieren können, halten wir unsere erweiterte Bildführung so einfach und effizient wie möglich. Sie können die Live-2D- und -3D-Bildgebung im OP einsetzen, ohne bei Ihrer gewohnten Arbeitsweise Abstriche bei Raum und Flexibilität zu machen. Unsere dedizierten interventionellen Tools und fortschrittlichen Instrumente unterstützen Sie bei jedem Schritt des endovaskulären Verfahrens – so können Sie sich darauf konzentrieren, Entscheidungen zu treffen, das Team anzuleiten, die Behandlung durchzuführen und die Ergebnisse zu überprüfen.
Lösungen für interventionelle Verfahren bei peripherer arterieller Verschlusskrankheit (pAVK) von Philips Image Guided Therapy
Mehr erfahren
Dieses deckenmontierte System besticht durch seine hervorragende Freiheitsgrade bei der Positionierung. Diese enorme Flexibilität in der Bildgebung ermöglicht die Durchführung peripherer Verfahren, ohne den Tisch bewegen zu müssen, sowie von EVAR-Verfahren an so gut wie jeder Position um den Tisch herum. Alle relevanten Anwendungen können direkt am Untersuchungstisch über einen einzigen Touchscreen bedient werden, ohne dass Sie das sterile Umfeld verlassen müssen – ein entscheidender Vorteil, wenn Sie schnell informierte Entscheidungen treffen müssen. Philips Azurion mit FlexArm passt sich an Ihre Bedürfnisse an, damit Sie effizienter arbeiten und Ihren Patienten eine hervorragende Versorgung bieten können.

VesselNavigator ermöglicht die Wiederverwendung von dreidimensionalen Gefäßanatomiedaten aus bestehenden CTA- und MRA-Datensätzen als 3D-Roadmap-Überlagerung auf einem Echtzeit-Röntgenbild. Dank der hervorragenden Darstellung kann VesselNavigator kontinuierlich eine intuitive 3D-Roadmap als Führungshilfe bei der Navigation durch Gefäßstrukturen bieten.

Der intravaskuläre Ultraschall (IVUS) ist eine katheterbasierte Bildgebungstechnologie, mit der Blutgefäße von innen nach außen visualisiert werden können, um das Vorliegen und das Ausmaß der Erkrankung zu beurteilen. IVUS unterstützt die Entscheidungsfindung, die Führung und die Bestätigung der richtigen interventionellen Behandlung für jeden einzelnen Patienten.
„In der modernen Gefäßchirurgie geht es hauptsächlich darum, hochwertige Bildgebung mit der sterilen Umgebung eines OP zu verbinden. Hier entfaltet unser Hybrid-Raum seine volle Leistungsfähigkeit.“
Prof. Dr. Ramon Varcoe
Prince of Wales Private Hospital, Sydney, Australien
Das Vascular Institute des Prince of Wales Private Hospital zu den speziellen Vorteilen des Philips Azurion mit FlexArm im Hybrid-OP. Ein echter multidisziplinärer Behandlungsraum bietet besonders große Flexibilität für offene und angiographische endovaskuläre Verfahren.

SmartPerfusion liefert einen sofortigen und verlässlichen Überblick zur Durchblutungssituation in der Peripherie, während sich der Patient noch auf dem Tisch befindet. So lässt sich der Erfolg der gerade abgeschlossenen Behandlung unmittelbar beurteilen. Dieses Bildanalyse-Tool bietet funktionale Daten zur Gewebeperfusion basierend auf der digitalen Subtraktionsangiographie (DSA).

SmartCT Soft Tissue ist eine Röntgen-Erfassungstechnik, die eine CT-artige Darstellung des Weichgewebes in Relation zu anderen Strukturen erzeugt. Sie kann direkt am Tisch über den Touchscreen gesteuert werden. Mit den CT-artigen Bildern können Weichgewebe, Knochenstrukturen und Stent-Platzierung beurteilt werden.

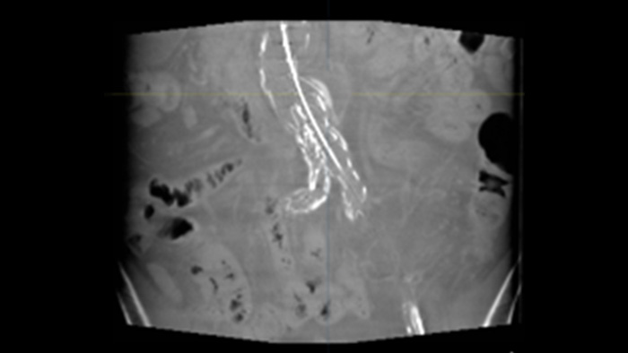
Diese Röntgen-Erfassungstechnik erzeugt eine vollständige, hochauflösende 3D-Darstellung der zerebralen, kardialen, abdominalen oder peripheren Gefäße in einem einzigen Rotationsangiographielauf. Sämtliche Funktionen werden dabei über den Touchscreen am Tisch gesteuert.

SmartCT Roadmap bietet eine Live-3D-Bildüberlagerung, die segmentiert werden kann, um Zielgefäß und -läsionen hervorzuheben und so eine schnelle Katheterisierung zu unterstützen. SmartCT Roadmap überlagert 3D-Rekonstruktionen des Gefäßbaums, der Gefäßsegmente oder der Herzschlagbeschriftungen mit Echtzeit-Durchleuchtungsbildern.

IntraSight liefert durch iFR/FFR- und IVUS-Modalitäten in Verbindung mit dem Angiogramm mehr Informationen und kann über den Touchscreen am Tisch gesteuert werden. IntraSight ist auf einer Basisplattform aufgebaut, die eine schnelle Integration neuer Innovationen in Ihr Labor erlaubt.

Der Hybrid-OP der jüngsten Generation in Vascular News
Sie benötigen Bildgebung in einem klassischen OP? Mit den mobilen C-Bogen-Lösungen von Philips lassen sich klare, detaillierte Bilder schneller und einfacher aufnehmen. Sie unterstützen Sie dabei, während orthopädischen und schmerztherapeutischen Verfahren, bei Gefäßeingriffen und anderen chirurgischen Verfahren im OP informierte Entscheidungen zu treffen.
September 21, 2023
Unsere hochentwickelten Bildgebungssysteme, erweiterten klinischen Tools und fortschrittlichen Geräte unterstützen Chirurgen – von der Entscheidungsfindung, Anleitung und Durchführung der Behandlung bis hin zur Verifizierung der Behandlungsergebnisse.
Mehr erfahrenUnsere hochentwickelten Bildgebungssysteme, erweiterten klinischen Tools und fortschrittlichen Geräte unterstützen Chirurgen – von der Entscheidungsfindung, Anleitung und Durchführung der Behandlung bis hin zur Verifizierung der Behandlungsergebnisse.
Mehr erfahrenLösungen für Wirbelsäuleneingriffe mit erweiterter Echtzeit-Bildführung und besonders flexiblen Arbeitsabläufen für den Hybrid-OP – für schnelle, präzise und vereinfachte Eingriffe. Von Philips Image Guided Therapy.
Mehr erfahrenYou are about to visit a Philips global content page
Continue